Dr. Camelia Grec

Tratament endodontic molar inferior cu elongare coronară și reconstrucție corono-radiculară

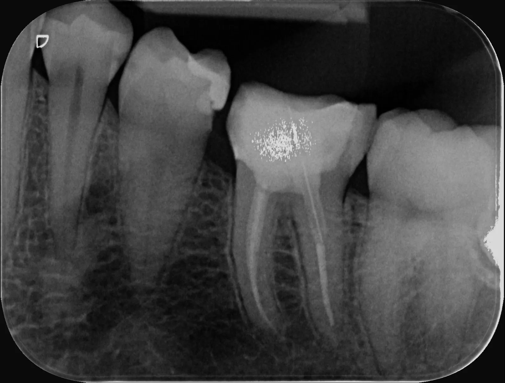
1 – Radiografie inițială

1 – Radiografie inițială

2 – Aspect clinic inițial

2 – Aspect clinic inițial

3 – Exereză parțială dentină alterată

3 – Exereză parțială dentină alterată

4 – Inflamație pulpară ireversibilă

4 – Inflamație pulpară ireversibilă

5 – Elongare coronară

5 – Elongare coronară

6 – Izolarea după elongarea coronară

6 – Izolarea după elongarea coronară

7 – Sigilarea foliei de digă mezial

7 – Sigilarea foliei de digă mezial

8 – Reconstrucție preendodontică

8 – Reconstrucție preendodontică

9 – Stabilirea conurilor master

9 – Stabilirea conurilor master

10 – Obturarea canalelor radiculare

10 – Obturarea canalelor radiculare

11 – Proba pivotului de fibră de sticlă

11 – Proba pivotului de fibră de sticlă

12 – Build-up

12 – Build-up

13 – Aspectul final al reconstrucției corono-radiculare înainte de adaptarea în ocluzie

13 – Aspectul final al reconstrucției corono-radiculare înainte de adaptarea în ocluzie

14 – Aspectul final al reconstrucției corono-radiculare după finisare

14 – Aspectul final al reconstrucției corono-radiculare după finisare

15 – Radiografia de control imediat post-operator

15 – Radiografia de control imediat post-operator