Sari la conținut
Dr. Camelia Grec
Camelia Grec

Dr. Camelia Grec

Specialist Endodonție

Cluj-Napoca, Romania

Solicită colaborare

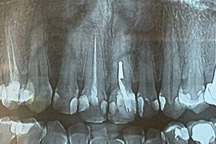
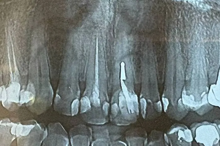
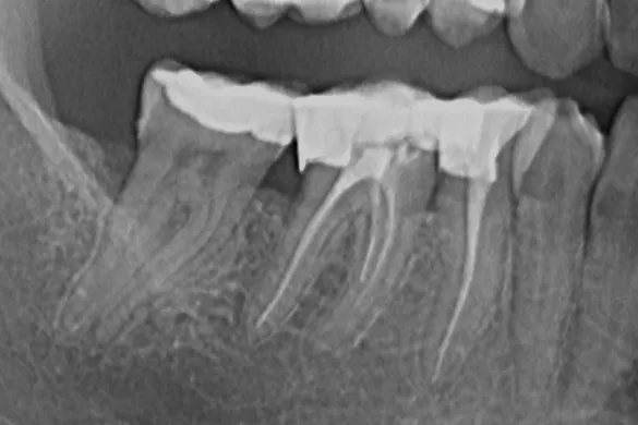
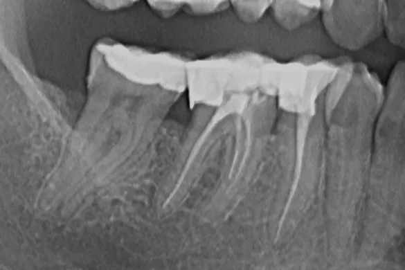
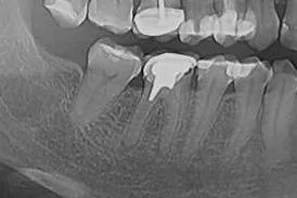
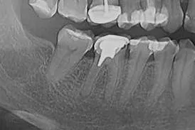
Portofoliu de cazuri

Tratamente și retratamente endodontice și restaurative din practica mea curentă

Medic Endodont în Cluj-Napoca

Pasiune pentru excelență în endodonție microscopică

poza la microscop

Sunt un medic endodont cu peste 10 ani de experiență în domeniul stomatologiei, specializat în efectuarea tratamentelor de canal și a altor proceduri endodontice. De asemenea, sunt pasionată de stomatologia restauratoare și imi propun să mă autodepășesc în fiecare zi. Fiind o fire flexibilă și empatică mă adaptez la diversele nevoi ale pacienților mei, de la tratamente endodontice simple la cele mai complexe.

Integrez tehnologii avansate și echipamente moderne pentru a diagnostica, trata și preveni diverse afecțiuni orale. De la magnificație la imagistică 3D, utilizez cele mai recente metode pentru a asigura servicii de înaltă calitate pacienților mei.

poza la microscop poza la microscop

Chiar dacă interacțiunea noastră este scurtă, pun accent pe construirea unor relații solide cu pacienții mei. Îmi dedic timpul pentru a explica și a comunica în mod clar planurile de tratament, asigurându-mă că pacienții se simt înțeleși și confortabili. Deși nu e întotdeauna posibil, pun accentul pe reevaluare și subliniez mereu importanța acesteia tuturor pacienților.

Ofer cu bucurie servicii stomatologice copiilor. Am o mare satisfacție când contribui la sănătatea dentară a copiilor și încerc să creez o atmosferă relaxată și prietenoasă în timpul vizitelor lor la cabinetul stomatologic.

Vă invit să explorați website-ul pentru a afla mai multe despre munca mea de zi cu zi din care am selectat câteva cazuri mai interesante.

Camelia

Colaborări

Rețea națională EndoSanos

Centre endodontice dedicate, în 10 orașe din România

EndoSanos — Excelență în Endodonție. Noi tratăm cauza, nu efectul.

Centre EndoSanos în România

Precizie, siguranță, rezultate durabile. Rețea națională de centre endodontice:

  • Satu Mare — Str. George Coșbuc nr. 26, Satu Mare. Telefon: 0748 432 394
  • Baia Mare — Str. Ștefan Luchian nr. 10A, Baia Mare. Telefon: 0745 630 170
  • Oradea — Str. Biruinței nr. 52, Oradea. Telefon: 0742 155 431
  • Cluj-Napoca — Calea Moților 106, Cluj-Napoca. Telefon: 0753 475 964
  • Timișoara — Str. Nicolae Grigorescu nr. 38, Dumbrăvița, Timiș. Telefon: 0769 293 937
  • Alba Iulia — Str. Moților nr. 90, Alba Iulia, Alba. Telefon: 0741 455 791
  • Brașov — Strada Crișului nr. 18, complex Magnolia, parter, Brașov. Telefon: 0743 163 697
  • Tulcea — Strada Corneliu Gavrilov 322, bl. A9, sc. A, ap. 1, 820197, Tulcea. Telefon: 0754 599 503
  • București. Telefon: 0726 135 667
  • Călărași — Str. Luceafărului nr. 3, bl. E3, sc. A, ap. 2, Călărași. Telefon: 0724 761 608

Cabinete stomatologice Cluj-Napoca

Servicii endodontice în parteneriat cu Artmark Dental și OrtoPerioDent

Lider de opinie

Colaborare cu Coltene, lider mondial în materiale endodontice

Parteneriate bazate pe încredere și profesionalism

Contact

Programează o consultație sau o cerere de colaborare

Trimite un mesaj