Dr. Camelia Grec

Îndepărtare instrument fracturat și retratament endodontic molar inferior cu 4 canale

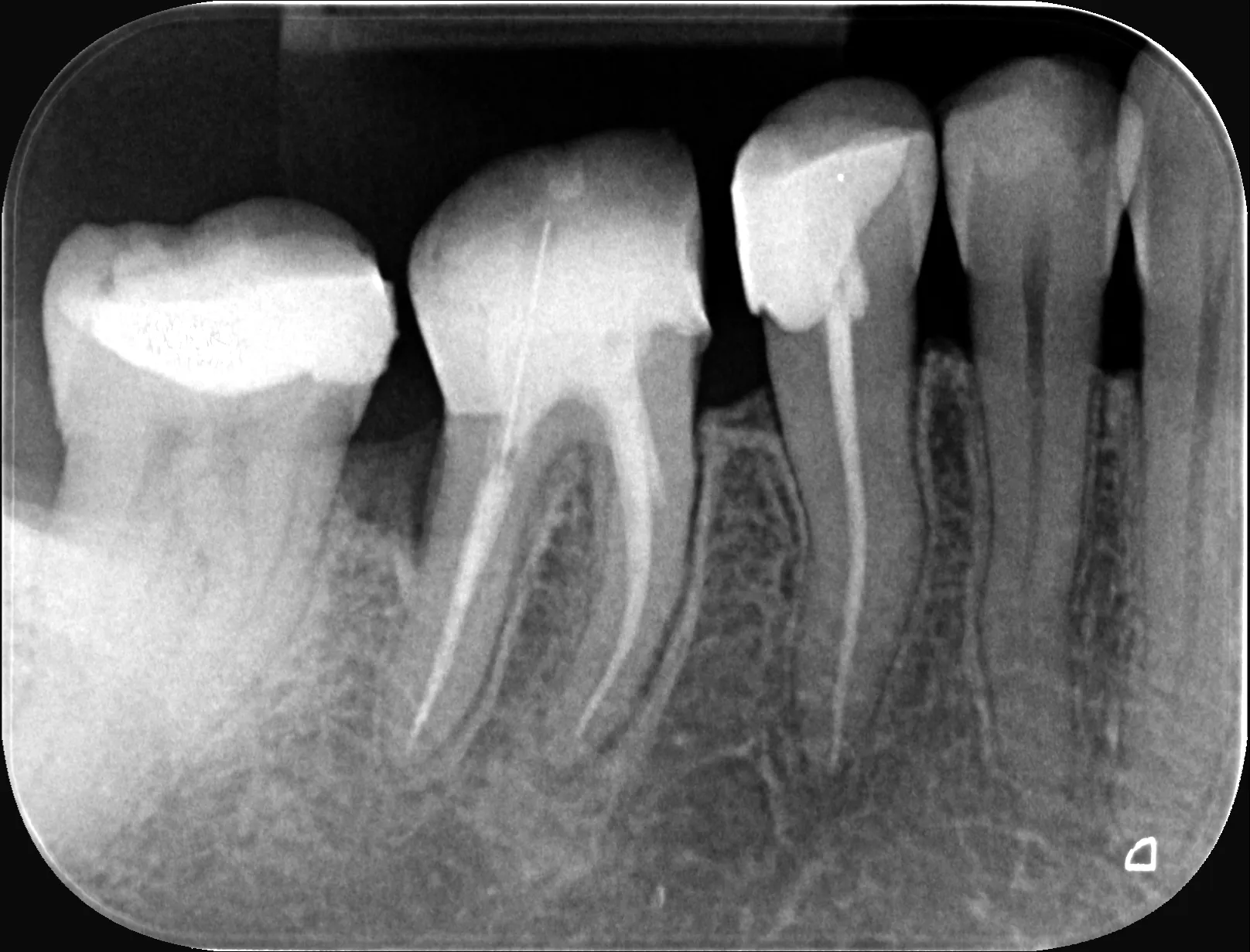
1 – Radiografie initială

2 – Situația clinică inițială după îndepărtarea parțială a obturației coronare

3 – Îndepărtarea bazei plasată coronar

4 – Aspectul clinic după exereza completă a dentinei alterate

5 – Adaptarea matricei circulare

6 – Adaptarea matricei mezial – matrice în matrice și teflon

7 – Reconstrucția preendodontică

8 – Dezobturarea canalelor

9 – Aspectul instrumentului fracturat expus

10 – Aspectul instrumentului fracturat mobilizat

11 – Canalele preparate și pregătite pentru obturare

12 – Canalele obturate

13 – Reconstrucția finală corono-radiculară

14 – Radiografia de control imediat după finalizarea tratamentului endodontic