Dr. Camelia Grec

Îndepărtarea unei freze fracturate în canal la nivelul unui incisiv central superior, retratament și reconstrucție

0 – Radiografie inițială

1 – Aspect clinic inițial

2 – Aspectul pivotului metalic dupa îndepărtarea parțială a materialului de build-up

3 – Aspectul pivotului metalic după eliberarea din partea coronară și resturi de ciment cu carie secundară

4 – Aspectul pivotului metalic dislocat

5 – Prezența unei perforații la nivel cervical

6 – Aspectul frezei din canalul radicular

7 – Expunerea frezei pentru a încerca mobilizarea ei

8 – Freza fracturată îndepărtată

9 – Aspectul clinic imediat după îndepărtarea frezei

10 – Începerea retratamentului endodontic

11 – Acțiunea soluțiilor de irigare

12 – Soluție clară și curată

13 – Aspectul clinic înainte de obturarea canalului

14 – Obturația endodontică

15 – Expunerea perforației cervicale

16 – Reparația perforației cu glassionomer autopolimerizabil

17 – Aplicarea matricei și a ic-urilor în vederea reconstrucției

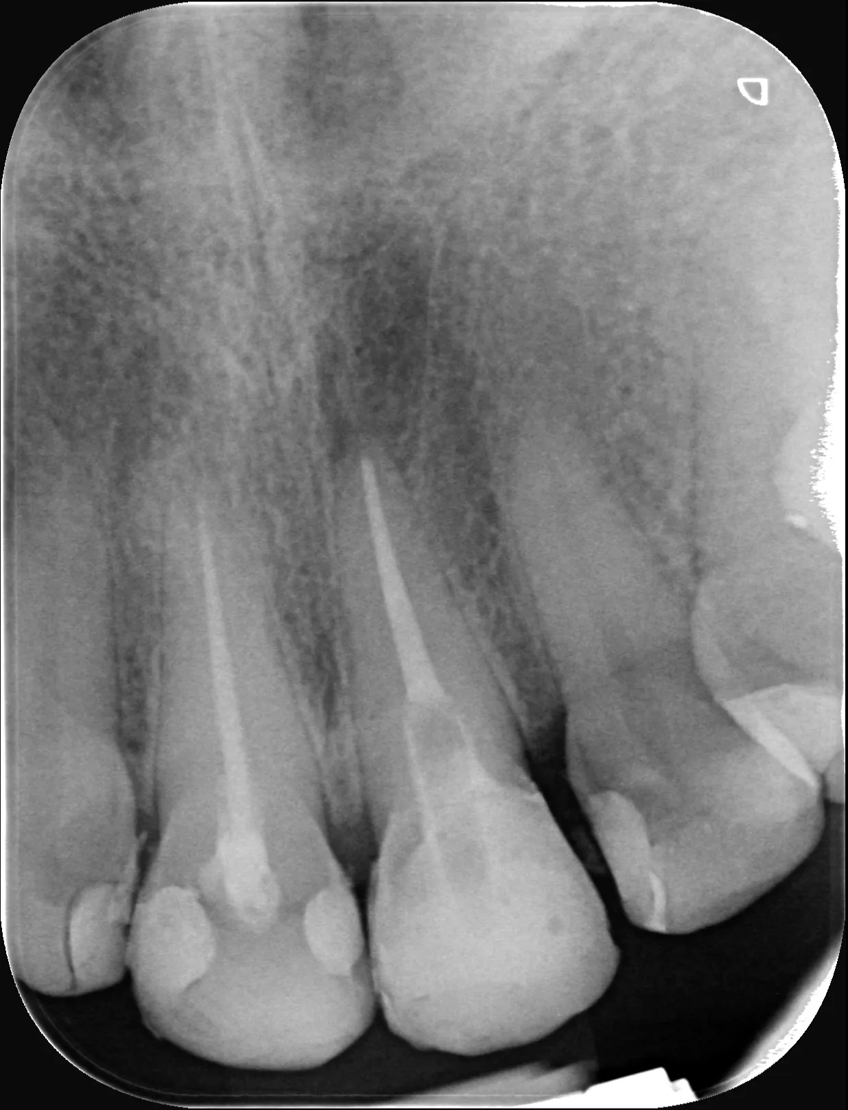
18 – Build-up cu aplicarea unui pivot de fibră de sticlă

19 – Aspectul final al reconstrucției – urmează protetica

20 – Radiografia de control imediat după finalizarea tratamentului